volver
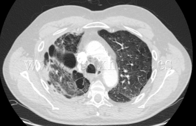
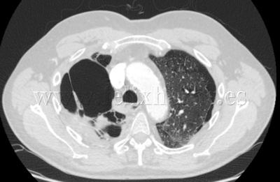
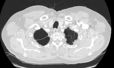
Enfisema pulmonar