volver
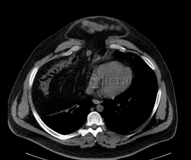
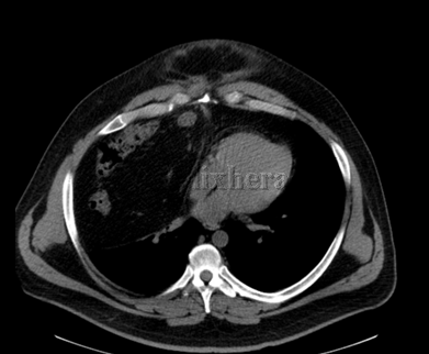
Hernia diafragmática traumática con laparocele gigante