volver  
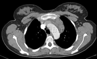
Linfoma cérvico-mediastínico
 

Biopsia por videomediastinoscopia