volver
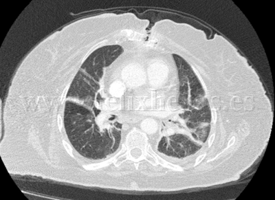
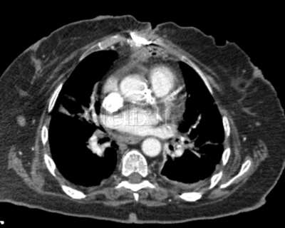
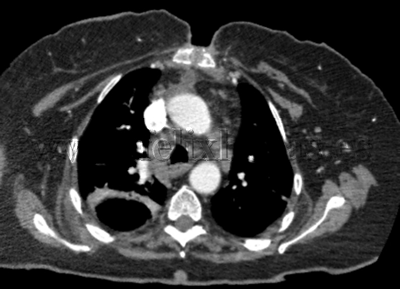
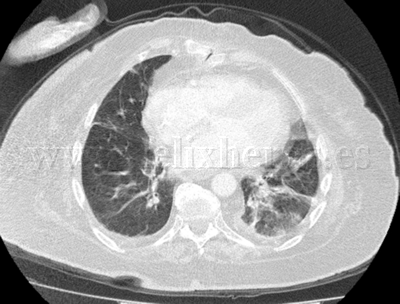
Mediastinitis anterior post esternotomía