volver
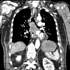
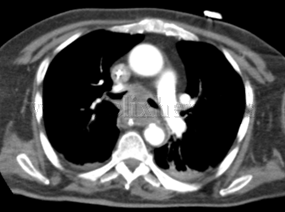
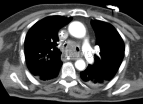
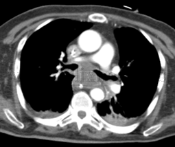
Neoplasia de carina principal