volver

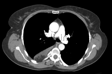
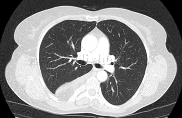
Tumor de mediastino posterior

Neuroma